CT vyšetření pohybového aparátu
CT vyšetření pohybového aparátu se využívá k detailnímu zobrazení zvláště kostí a kloubů. CT vyšetření kostí může poskytnout podrobnější informace o kostní tkáni a její struktuře než standardní rentgenové vyšetření, a tím získat více informací týkajících se zranění a/nebo onemocnění kostí.
Vážná poranění zápěstí u psů a jejich léčba
Kulhání na hrudní končetinu může být u psů zapříčiněno i poraněním zápěstí. Zápěstí je složitý kloub, který působí během pohybu jako tlumič působících sil při přenášení váhy těla na zem.
Luxace čéšky a přetržení předního zkříženého vazu – častá příčina bolavého kolene starších psů
Luxace čéšky (pately) je jednou z nejčastějších vrozených vývojových vad pohybového aparátu psů. Vede k rozvoji artrózy v koleni a díky dlouhodobé nestabilitě kloubu později nezřídka také k přetržení předního zkříženého vazu.
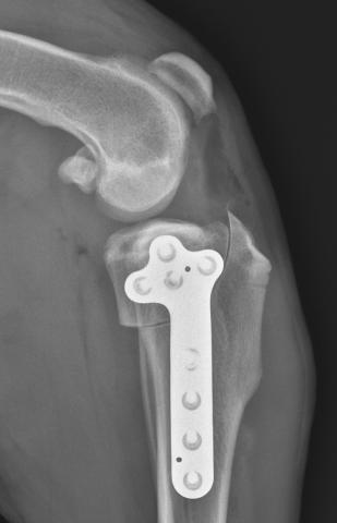
Zranění ramene při agility. Jak ho správně diagnostikovat?
Agility je u psů jeden z nejoblíbenějších sportů. Nejvíce jsou u něj při zdolávání překážek ve velké rychlosti zatěžovány hrudní končetiny a právě ramenní kloub bývá zraněními postižen nejčastěji. Majitelé k nám přicházejí z důvodu akutního nebo dlouhodobě se opakujícího kulhání na hrudní končetinu.
Certifikované posuzování dědičných ortopedických vad u psů na Veterinární klinice Medipet
Složením specializačních zkoušek je MVDr. Jiří Jahoda od r. 2003 posuzovatelem dědičných ortopedických vad u psů. Jedná se o posuzování dysplazie kyčelního kloubu (DKK), dysplazie loketního kloubu (DLK), osteochondrózy (OCD), spondylózy a luxace čéšky (PL). Kromě luxace čéšky, která se posuzuje klinicky, je prováděno posuzování RTG snímků.
Veterinární ortopedie
Ortopedie je základní chirurgický lékařský obor, který se zabývá prevencí, léčbou a rehabilitací poruch a onemocnění podpůrného a pohybového aparátu. Ortopedie se zabývá i léčbou zranění pohybového aparátu.
Operace kolenního kloubu psa u přetrženého zkříženého vazu
Přesto, že metoda stabilizace kolenního kloubu po ruptuře předního zkříženého vazu TPLO byla zavedena Barclayem Slocumem již v roce 1993, prožívá v posledních letech obrození.
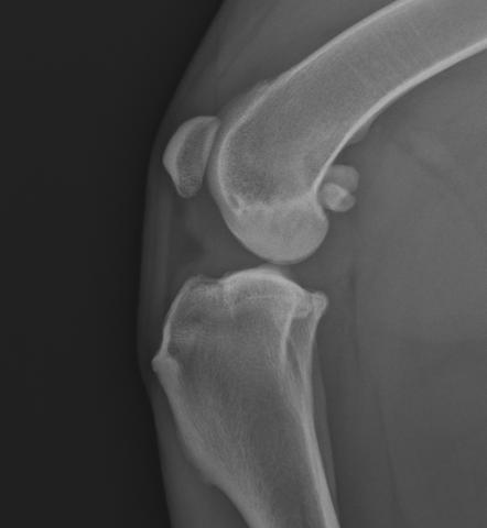
Rentgenologické vyšetření pohybového aparátu
Rentgenologické vyšetření má ve veterinární ortopedii nezastupitelnou úlohu. Získáme jím přesný obraz kostí např. u podezření na zlomeninu nebo na jiné postižení kostí a kloubů.
Artroskopie psa a kočky
Artroskopie je miniinvazivní operační zákrok. Je to vyšetřovací a léčebná metoda, díky níž si může lékař kloub přímo prohlédnout a pomocí endoskopického nástroje v něm provést chirurgický zákrok.
Diagnostika kulhání a léčba pohybového aparátu
Toto všechno mohou být příznaky postižení pohybového a nervového systému a na základě vyšetření můžeme stanovit diagnózu (o co se jedná) a léčbu (co s tím můžeme provést).