Milfortová Set kk detail | Veterinární klinika Medipet Zlín

Luxace čéšky (pately) je jednou z nejčastějších vrozených vývojových vad pohybového aparátu psů. Vede k rozvoji artrózy v koleni a díky dlouhodobé nestabilitě kloubu později nezřídka také k přetržení předního zkříženého vazu.

Postižená plemena

Postihuje nejvíce malá plemena psů, hlavně jorkšírské teriéry, čivavy, toy pudly a pomeraniany.

Plemena s luxací pately sleduje dlouhodobě Ortopedická nadace zvířat https://ofa.org/ .

Projevy

Luxace pately se projevuje střídavým kulháním, někdy končetinu pes na pár kroků poponese a za chvíli chodí zase normálně, jindy je to kulhání oboustranné (postižení obou kolenních kloubů). Přetržení předního zkříženého vazu se projeví náhlým a trvalým kulháním na postiženou končetinu.

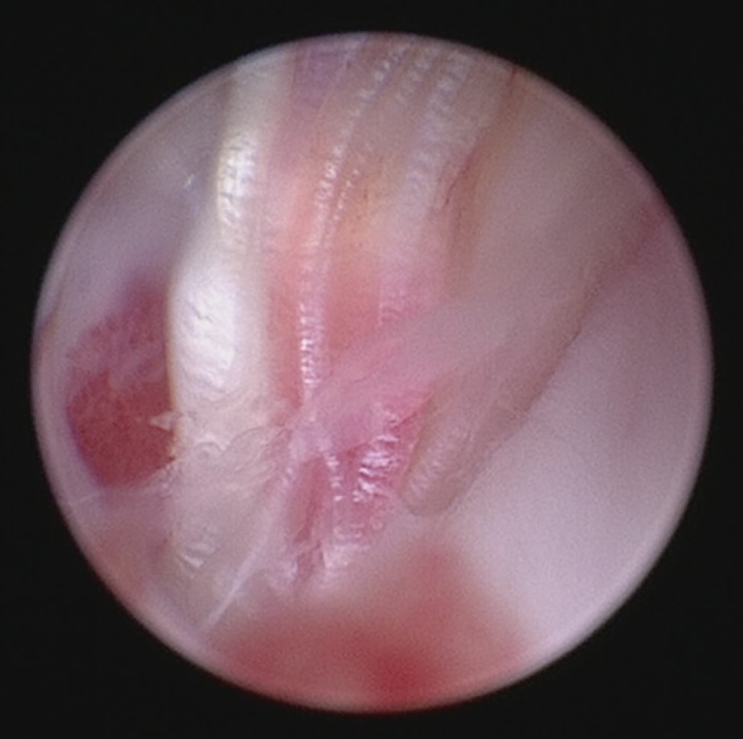
Diagnostika

Pacienty s kulháním na pánevní končetiny vyšetřuje na Veterinární klinice Medipet MVDr. Jiří Jahoda. Je certifikovaným posuzovatelem luxace pately Komory veterinárních lékařů ČR. Vyšetření probíhá v několika krocích, od sebrání anamnézy, celkového klinického vyšetření po vyšetření zaměřené na pohybový aparát. Většinou v sedaci či celkové anestezii proběhne rentgenologické vyšetření, často s artroskopickým vyšetřením kolenního kloubu, někdy jsou indikována další vyšetření – MRI, CT. Diagnostika kulhání je popsána zde: "Diagnostika kulhání a léčba pohybového aparátu".

Léčba

Pokud je luxace pately zjištěna náhodně při jiných vyšetření a prevenci a nezpůsobuje klinické příznaky kulhání, probíhá léčba konzervativně se zaměřením na udržování nižší váhy, úpravu pohybového režimu a fyzické zátěže celkově, případně fyzioterapii.

Při střídavém nebo trvalém kulhání je doporučena chirurgická léčba. Metoda operace luxované čéšky závisí na jejím stupni a na kostních a kloubních deformitách postižené pánevní končetiny.

Veterinární klinika Medipet nabízí od roku 2024 pro léčbu novou techniku TPLO-M. Používá se právě k léčbě současně se vyskytující parciální nebo totální ruptury předního zkříženého vazu a mediální luxace pately I. a II. stupně.

TPLO-M - pooperační RTG | Veterinární klinika Medipet Zlín
Artroskopické vyšetření - přetržení předního zkříženého vazu | Veterinární klinika Medipet Zlín
předtvarované implantáty firmy Intrauma | Veterinární klinika Medipet Zlín