Vážná poranění zápěstí u psů a jejich léčba | Veterinární klinika Medipet Zlín

Kulhání na hrudní končetinu může být u psů zapříčiněno i poraněním zápěstí. Zápěstí je složitý kloub, který působí během pohybu jako tlumič působících sil při přenášení váhy těla na zem. Úraz zápěstí vznikne náhle při agility a dalších psích sportech, při intenzivní hře, při pádu, při srážce s autem, chronické kulhání pak může vycházet z bolestivé artrózy zápěstí.

Nejčastěji z důvodů vážného poranění zápěstního kloubu (HEI - hyperextenzní poranění) se u psů provádí jeho úplné znehybnění (PCA - pankarpální artrodéza), aby se obnovila plná funkce postižené končetiny. Na našem pracovišti jsme měli v posledním období 3 takové pacienty, u nichž jsme pro operaci použili nové implantáty Fixin firmy Intrauma. 2 pacienti jsou po operaci více jak rok a jeden 8 měsíců. Zpětným dotazováním majitelů došlo u všech pacientů k úspěšnému obnovení používání končetiny a zvládání běžné pohybové zátěže.

Majitel jednoho pacienta uvádí plnou funkčnost končetiny s pravidelnou nenáročnou zátěží, další majitel uvádí střídání se období zcela bez kulhání a období lehkého pokulhávání, třetí majitel uvádí radost z pohybu a zvládání třeba 9km procházky bez následků. S výsledkem léčby byli všichni majitelé spokojeni a ani jeden z nich vynaložených financí na operaci nelitoval.

To odpovídá výsledkům nejnovější studie autorů Higginse a Hayese*, ve které pracovní psi ve Spojeném království, kteří podstoupili jednostrannou PCA, mají dobrou prognózu návratu do pracovní činnosti. Ve studii ale zároveň nebyla prognóza tak příznivá u psů pracujících ve strmějším a nerovném horském terénu. Tyto výsledky umožňují chirurgům poskytnout přesnější prognózu pro pracující psy vyžadující PCA.

Nové hybridní systémy Fixin pro PCA - úhlově stabilní PCA dlahy Fixin - vykazují fyziologický 11° postojový úhel v zápěstí a lépe zajišťují distribuci kompresních sil působících přes uzamykatelné šrouby a ploténku. Jsou bezpečnější a stabilnější než dříve prováděné fixace pomocí dynamické komprese.**

* Higgins, J., Hayes, G. Owner satisfaction and prognosis for return to work after pancarpal arthrodesis in working dogs in the United Kingdom: a retrospective study (2011–2020). Acta Vet Scand 66, 49 (2024). https://doi.org/10.1186/s13028-024-00759-5

** Hnízdo J. Hybridní dlahy Fixin pro pankarpální artrodézi u psa – první klinické zkušenosti. Veterinářství 2015;65

Pacient č. 1.

  • Plemeno dalmatin, pohlaví fena, stáří 2 roky
  • Příčina kulhání – poranění křovinořezem
  • Diagnóza – mnohočetné přetětí šlach zápěstí a zlomeniny kostí vřetenní a záprstních kostí
  • Terapie – PCA - pankarpální artrodéza 
Pacient č.: 1. - zranění
Pacient č.: 1. - rtg zranění.
Pacient č.: 1. - rtg před operací.
Pacient č.: 1. - rtg před operací.
Pacient č.: 1. - před operační plán.
Pacient č.: 1. - použitý implantát Fixin trauma.
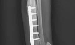
Pacient č.: 1. - rtg po operaci.
Pacient č.: 1. - rtg po operaci.
Pacient č.: 1. - pacient po operaci.

Pacient č. 2.

  • Plemeno sheltie, pohlaví fena, stáří 6 let
  • Příčina kulhání – úraz zápěstí z přetížení
  • Diagnoza HEI – hyperextenzní poranění
  • Terapie: PCA – pankarpální artrodéza
Pacient č.: 2. - rtg před operaci, hypertenze karpu.
pacient-2-3-pouzity-implantat-fixin-intrauma.
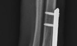
Pacient č.: 2. - pooperační rtg.
Pacient č.: 2. - pooperační rtg.

Pacient č. 3

  • Plemeno sheltie, pohlaví fena, stáří 5 let
  • Příčina kulhání –  úraz zápěstí z přetížení
  • Diagnoza HEI – hyperextenzní poranění
  • Terapie: PCA – pankarpální artrodéza
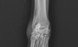
Pacient č. 3. - předoperační rtg.
Pacient č. 3. - použití implantátu Fixin Intrama.
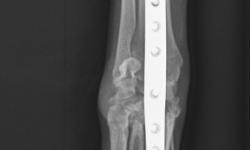
Pacient č. 3. - pooperační rtg.
Pacient č. 3. - po operační rtg 2.
Pacient č. 3. - pooperační rtg, stav po osmi měsících.
Pacient č. 3. - pooperační rtg 2., stav po osmi měsících.