Kolenní kloub je komplexní a střídavý kloub, kde se střídá extenze a flexe (1). Je největší synoviální kloub v muskuloskeletálním sytému a skládá se ze tří kostí: femuru, tibie a patelly (1, 2). Dále se celý kloub dělí na dva samostatné, a to na articulatio femorotibialis a na articulatio femoropatellaris (1). Mezi kondyly femuru a kloubními plochami tibie se nachází synoviální tekutina a menisky, které mají funkci tlumící (3). Zdravý kolenní kloub obsahuje pouze 0,2–2 ml synoviální tekutiny. V kloubním pouzdře se nachází volná nervová zakončení a Ruffiniho tělíska (9, 10).
Obrázek 1: Anatomie kolenního kloubu z kraniálního pohledu, kolenní kloub je v částečné flexi (1)
Zkřížené vazy se nachází uprostřed kolenního kloubu a jsou jeho hlavními stabilizátory. Tento kloub je velmi náchylný k poranění, proto náhlé kulhání na pánevní končetinu u psů bývá nejčastěji spojováno s rupturou předních zkřížených vazů. Jeden z prvních viditelných příznaků ruptury vazů je kulhání na postiženou končetinu. Abychom mohli toto kulhání porovnat v průběhu času, popisujeme stupeň kulhání na škále 1 až 5. Toto kulhání bývá způsobeno neochotou koleno natáhnout a zatížit ho z důvodu nestability. Pes může také postiženou končetinu zcela nést a nedošlapovat na ni (12, 15).
| Stupeň 0 | Stupeň 1 | Stupeň 2 | Stupeň 3 | Stupeň 4 | Stupeň 5 |
| Jedinec nekulhá | V klidu končetinu odlehčuje, opírá se jen o konečky prstů, v kroku nekulhá, kulhá v klusu | V klidu končetinu odlehčuje, kulhá v kroku. | V klidu končetinu odlehčuje, v kroku ji nezatěžuje. | Končetinu nezatěžuje ani v kroku, ani v klusu. | Jedinec neochotně vstává, ujde nanejvýš pár kroků a sedne si. |
Tabulka 1: Kvantifikace kulhání
Zkřížené vazy – anatomie a funkce
Zkřížené vazy jsou unikátní ve svém složení. Hrají jednu z hlavních rolí při stabilizaci kolenního kloubu. Brání hyperextenzi a omezují vnitřní rotaci tibie vzhledem k femuru.
Vazy se rozdělují na zkřížený přední a na zkřížený zadní, kde oba mají dvě složky, které se během zatížení chovají nezávisle na sobě (4, 8). Přední zkřížený vaz (LCC) zajišťuje extenzi a kontroluje kraniální pohyb tibie, zatímco zadní zkřížený vaz (CaCl) řídí flexi a kaudální pohyb tibie vůči femuru (2). Oblasti vazů mají různé funkce a záleží na podmínkách zatížení a úhlu (7). Pokud dojde k poškození kolaterálních vazů a následně k jejich ztrátě podpory, zkřížené vazy se stávají hlavními stabilizátory kolenního kloubu (8).
Obrázek 2: Zobrazení kolenního kloubu v mírné flexi v kraniálním pohledu.
Zkřížené vazy jsou makroskopicky podobné ostatním kosterním vazům. Jsou izolované, homogenní, tuhé, bílé struktury napnuté mezi dvěma kostními úpony (13). Skládají se převážně ze dvou třetin vody a jedné třetiny kolagenu, který je důležitý pro pevnost a strukturu vazu. Kolagen je uložen ve vláknech z fibril, které nejsou zcela rovné, ale zvlněné, aby se nepoškodily při zatížení vazu. Čím větší síly
na vaz působí, tím se vlákna fibril natahují a rovnají. Ve vazech můžeme najít mnoho typů kolagenu, nejčastěji je to kolagen typu I (4).
Kolagen typu I se skládá z tropokolagenu, který se spojuje do fibril a dále do svazků. Následně v matrixu vazu můžeme najít proteoglykany, aktin, laminin, integrinin a další proteiny. Celkově se LCC vyznačují nízkým počtem buněk (4, 36).
Hlavní cévní zásobování vazů je zajištěno artérií genicularis media, která proniká do kloubního pouzdra mezi zkříženými vazy. Prokrvení obou vazů pochází převážně z měkkých tkání, a hlavně z tukového polštáře a synoviální membrány, která zkřížené vazy pokrývá (5). Synoviální membrána je specializovaná kolagenní tkáň, která vystýlá vnitřní prostředí a všechny struktury synoviálního kloubu kromě kloubní chrupavky. Makroskopicky ji můžeme definovat jako tenkou (0,5–5 mm), průsvitnou vrstvu pojivové tkáně s vilózními výběžky (4, 5, 6).
Synoviální obal, který vychází ze synoviální membrány, obaluje zkřížené vazy a vytváří z nich extrasynoviální struktury, i když jsou ve skutečnosti intraartikulární. Za normálních okolností pro zkřížené vazy působí jako ochranná bariéra. V membráně se nachází mnoho malých otvorů, které umožňují výměnu synoviální tekutiny a poskytují živiny vazům (4, 5, 6).
V Synoviální membráně jsou nervy různých velikostí, ze kterých vyzařují axony směrem do středu vazů (7). Ačkoliv je LCC nejvíce inervovaný v proximální třetině vazu, je relativně necitlivý na bolest (6).
1.1.1. Přední zkřížený vaz
Přední zkřížený vaz sahá od vnitřní kaudální části laterálního kondylu femuru, blízko kloubního okraje, a rozkládá se diagonálně přes kloubní prostor až ke kraniální interkondyloidní oblasti tibiálního plató. Nejužší místo je ve středu vazu, kde nejčastěji dochází k jeho ruptuře a jeho délka závisí na tělesné hmotnosti, kde průměr je 13,5 až 18,7 mm (5).
LCC se dále také dělí na kraniomediální a kaudolaterální svazek podle toho, kde se připojují k tibiálnímu plató a u některých psů se může výjimečně vyskytnout i svazek třetí (5, 16). Když se koleno ohýbá, tak se na sebe vazy navzájem nabalují a také stáčejí, což díky vyššímu napětí omezuje míru vnitřní rotace tibie. Zatímco kaudolaterální část předního zkříženého vazu je napnutá jen v extenzi, kraniomediální část je napnutá v extenzi i flexi (8).
1.2. Biomechanika
Biomechanika se zabývá studiem mechanických vlastností objektů. Kolenní kloub je komplexní a jeho kinematika je dána výsledkem složitého mechanického systému. Kolenní kloub se pohybuje ve třech rovinách. V úplné extenzi se koleno natáhne a pohybuje se od 160° do 40° v úplné flexi. Dále se pohybuje kraniokaudálně a proximodistálně. Tyto pohyby jsou omezeny kolaterálními vazy (5). Rotace také probíhá ve třech rovinách. Přestože rotace kolem mediálně-kraniální osy převyšuje pohyb okolo zbylých dvou os, vznikají zde i rotace vnější a vnitřní a rotace kraniokaudální (32).
Pro zajištění stability kolenního kloubu jsou zapotřebí vazy a svaly. Kolaterální vazy omezují pohyby kolene, ale nejsou schopné zabránit kraniokaudálnímu pohybu. Síla kraniálního tibiálního tahu (CTT) je definována jako střižná síla vznikající v kolenním kloubu během zátěže. Střižná síla je výsledný vektor tibiálního pohybu a sklonu tibiálního plató (TPA) (24). Vyrovnání CTT je dosaženo působením aktivní a pasivní složky. Za aktivní složku považujeme působení flexorových svalů nohy a za pasivní složku LCC a kaudální roh mediálního menisku (2).
U vazů se biomechanické vlastnosti týkají vztahu mezi délkou a napětím. LCC omezuje kraniální pohyb tibie vůči femuru, hyperextenzi kolenního kloubu a nadměrnou vnitřní rotaci tibie (5). Pokud je vaz zatěžován, nastává napnutí vazu. V první fázi nízké zátěže se zvlněné fibrily LCC rovnají a v další fázi se již vaz napíná a dosahuje maximální zátěže. Pokud tuto maximální zátěž překročí, může dojít k porušení pevnosti vazu. Pevnost LCC ovlivňuje více faktorů, např. stárnutí, léky, celková systémová onemocnění a imobilizace (13).
Obrázek 4: Ilustrace pánevní končetiny během chůze. Zelená barva na šipce označuje pozitivní práci kloubu, červená barva zobrazuje negativní práci kloubu (4)
1.3. Ruptura předního zkříženého vazu
V minulosti byla ruptura předního zkříženého vazu u psů popisována jako následek náhodného poranění s navazujícím rozvojem artritidy, stejně jako u lidí. To je však od konce 80. let zpochybňováno a ruptura LCC se začala považovat za komplexní onemocnění s genetickými a enviromentálními rizikovými faktory, které vedou k rozvoji nestability v kolenním kloubu a následnému potrhání fibril LCC (5). Dnes se ruptura LCC považuje za nejčastější příčinu kulhání na pánevní končetiny (4) a jako následek úrazu se vyskytuje jen zřídka (16).
LCC degenerují v průběhu času a už při počáteční ruptuře vlákna předního zkříženého vazu se v kolenním kloubu vyskytuje artritida. Za nejčastější sekundární změny můžeme považovat osteoartrózu, progresivní zánět a degeneraci intraartikulárních struktur. Progrese onemocnění vede až ke kompletní ruptuře (5, 9, 12).
Při histologickém vyšetření byly potvrzeny degenerativní změny a zvýšený počet různých intracelulárních proteinů, kdy snopce primárního kolagenu byly zaměněny za nepravidelnou hmotu rozpadajících se kolagenních vláken a byly zde také zaznamenány známky předchozího krvácení (13).
1.4. Patogeneze
Mnoho predispozic může vést k ruptuře LCC, nicméně není přesně objasněné, které to jsou a zda tyto predispozice můžeme považovat, že vedly k ruptuře, anebo jsou následky instability kolenního kloubu (4). Nejčastěji se s rupturou LCC setkáváme u dospělých jedinců, kde LCC praskne důsledkem degenerace vazu. Ruptura LCC může být bilaterální a může vzniknout na i kontralaterálním kolenním kloubu. Vznik ruptury LCC i na druhém kolenním kloubu je dokumentována u více než 50 % psů (19).
Ruptura LCC se nedá vysvětlit jednou teorií a může k ní přispívat řada faktorů. Typicky se vyskytuje u pěti skupin:
- Akutní ruptura/trauma – nesetkáváme se s ní v četném počtu případů a je považována čistě za následek úrazu. Aby k ruptuře nenarušeného vazu došlo, musí být překonána přirozená pevnost vazu. V kolenním kloubu dochází k hyperextenzi a nadměrné rotaci. Typicky se může jednat o případ, kdy pes např. uvízne v běhu tlapkou v díře (13, 14).
- Degenerace vazu s přibývajícím věkem – jedná se o primární příčinu většiny ruptur vazu, se kterou je pes přiveden na vyšetření. V pokročilejším věku může způsobit porušení vazu i malé trauma během každodenních aktivit. Je to způsobeno úbytkem fibroblastů a změnou strukturální organizace snopců a kolagenních vláken. Ve většině případů jsou postiženy oba klouby, ale pes kulhá výrazněji jen na jednu končetinu. V obou kolenních kloubech shledáváme degenerativní změny, které jsou ale méně zřejmé a vyvíjejí se pomaleji u psů vážících pod 15 kg (13, 14).
- Ruptura vazu u mladších psů velkých plemen – do této skupiny řadíme psy do čtyř let stáří. Typické plemena jsou rotvajleři, labradoři, zlatí retrívři, boxeři, bernardýni a novofundlandští psi. Ruptura vazu začíná natažením vláken vazu, dochází k ruptuře parciální a následně k ruptuře úplné. Některé studie předpokládají, že natržení vazu může být způsobené nedostatečným cvičením ve štěněcím věku (13, 14, 43).
- Ruptura LCC spojená s imunitně podmíněnou artritidou nebo septickou artritidou – s tímto typem příčiny ruptury k veterináři dochází velmi malý počet pacientů, je ale velmi důležité zánětlivé artropatie rozpoznat, neboť následná terapie a prognóza je odlišná od ostatních příčin tohoto onemocnění (13, 14).
- Deformace a abnormality v úhlení pánevních končetin – vyskytuje se u některých plemen psů, např. u labradorského retrívra, rotvajlera nebo u plemene čau-čau. Souvisí s dysplazií kyčelního kloubu nebo se strmým postavením tarzálního kloubu (13, 14).
1.5. Klinické příznaky
Ruptura LCC se projevuje jednostranným nebo oboustranným kulháním na pánevní končetinu a obvykle toto kulhání bývá horší po zátěži. Pokud je kulhání oboustranné, psi změní svůj postoj, naklání se dopředu a přenáší váhu na přední končetiny (5). Majitelé často popisují náhlý nástup kulhání, kdy pes zpočátku po několik dnů na postiženou končetinu zcela nedošlapuje. Po odeznění zánětlivé reakce začne pes na nohu znovu našlapovat, a i přes domněnky majitelů, že se kulhání zlepšuje, ve skutečnosti je to normální průběh rozvoje ruptury LCC (19).
U parciální ruptury LCC je nástup kulhání pozvolný a pokud jsou postiženy i menisky, můžeme při vyšetření slyšet charakteristické ,,lupnutí“ (13, 14). Psi mohou mít potíže se vstáváním důsledkem rozvíjející se osteoartrózy. Není ani výjimkou, když majitelé psů popisují, jak kulhání slábne a za nějaký čas se znovu intenzivněji objeví (12).
1.6. Epidemiologie
Ruptura LCC je komplexní chorobný proces s mnoha přispívajícími genetickými a enviromentálními rizikovými faktory. Je zcela jasné, že neexistuje jedna kombinace rizikových faktorů, které by rupturu LCC způsobily (5).
1.6.1. Věk
K ruptuře LCC může dojít v jakémkoliv stáří zvířete, avšak mikrostruktura kolagenových vláken tvořících LCC se s přibývajícím věkem zhoršuje. Nejvyšší výskyt ruptury LCC zjistili Whitehair a kol. (1993) u psů ve stáří 7 až 10 let (6, 13, 5). Bylo také zjištěno, že psi od 1 do 4 let měli významně nižší pravděpodobnost výskytu ruptury než u jiných věkových skupin.
1.6.2. Pohlaví
Není zcela objasněné, zda má pohlaví na rupturu LCC vliv. Některé studie uvádí, že se výskyt tohoto onemocnění projevuje více u kastrovaných fen (5). Jiné studie tuto teorii však vyvrací a uvádí, že na pohlaví nezáleží (50), nebo že je zvýšená pravděpodobnost u samců (49, 57). Všechny studie se však shodují na tom, že vykastrovaní jedinci jsou k tomuto onemocnění nejvíce náchylní a předčasná kastrace je velkým rizikovým faktorem pro rozvoj nadměrných úhlů tibiálního plató u velkých plemen psů. Absence gonadálních hormonů ovlivňuje velikost, tvar nebo materiálové vlastnosti samotného LCC (5).
1.6.3. Obezita
Obezita u psů způsobuje mnoho ortopedických onemocnění a podle nejnovějších studií trápí obezita až 59,4 % domácích zvířat (18). Z mechanického hlediska nadměrná tělesná hmotnost vede ke zvýšené zátěži v končetinách a tím pádem k nadměrné zátěži LCC, která může vést k jeho ruptuře. Mechanické účinky se u psů mohou lišit dle jejich tělesné stavební konstituce. U velkých plemen může obezita tuto zátěž ještě umocnit (15, 18).
Zkoumal se také vliv endokrinní soustavy tukové tkáně na patofyziologii ruptury LCC. Bylo zjištěno, že uvolňující protizánětlivé adipokiny z tukové tkáně také mohou přispívat k degradaci vazu (5).
1.6.4. Bilaterální ruptura LCC
Jeden z největších rizikových faktorů je právě již diagnostikovaná ruptura vazu. U chronických ruptur LCC je velká pravděpodobnost, že dojde k přetížení vazu i na druhém koleni. Tato pravděpodobnost se dle výzkumů objevuje u 22–54 % jedinců (47, 48, 49). Ve stabilním kloubu nacházíme středně těžkou až těžkou osteoartrózu a synovitidu (14, 5, 2, 59).
1.6.5. Genetika
Ačkoliv se ruptura LCC považuje za nejčastější příčinu kulhání na zadní končetinu u psů, některá plemena se řadí mezi více rizikové a náchylnější k tomuto onemocnění (30). Řadí se mezi ně například novofundlandský pes, rotvajler nebo zlatý retrívr. U plemen jako chrt, basset a bobtail se vyskytuje ojediněle (31). To by mohlo naznačovat genetický základ pro rozvoj ruptury vazu.
Dr. Wilke a kol. ve studii představené v roce 2008 předpokládá, že způsob dědičnosti je pravděpodobně autozomálně recesivní s 51% penetrací (30). Mohli bychom to vysvětlit tak, že u každého psa s „rizikovou“ alelou si ve skutečnosti vaz přetrhne jen něco málo nad polovinu psů (4).
Tato studie také odhaduje dědičnost ruptury vazu na pouhých 27 % (30). To poukazuje na skutečnost, že přestože má pes genetickou predispozici k ruptuře, okolní podmínky mohou mít také středně velký až velký vliv (4).
V současné době neexistují genetické testy, které by toto onemocnění předpovídaly (31).
1.7. Predispozice
Degeneraci LCC neovlivňují jen genetické a enviromentální rizikové faktory. Musíme brát v potaz také postavení kostí, které by mohlo zátěž na LCC zvýšit. Tvar distálního femorálního intercondylárního zářezu, sklon tibiálního plató i další patologické procesy, jako např. luxace pately, mohou k degradaci vazu přispívat (5).
1.7.1. Morfologické rizikové faktory
Morfologie se zabývá velikostí, tvarem a strukturou zkoumaného objektu, například orgánu nebo tkáně. Tyto vlastnosti LCC jsou již popsány výše, ale není to jediná věc, která může rupturu vazu ovlivnit. Měla by se brát na vědomí také morfologie kostí, která se v této problematice zabývá především distálním femorálním interkondylárním zářezem (ICN) a sklonem tibiálního plató (5).
Tvar distálního ICN se může měnit s přibývajícím věkem, se zvýšeným zatížením končetiny a s rozvíjející se artrózou. V této oblasti nalezneme právě LCC, CaCl a tuk. Zúžení ICN je způsobeno tvorbou osteofytů a mohlo by bránit normální funkci LCC a také vést k jeho poškození. Byl popsány tvary ICN, a to do tvaru písmene „U“, „A“ a „W“. U psů se setkáváme s tvarem do písmene „U“. Tvar do písmene „A“ považujeme za zúžení, které by k degeneraci vazu mohly vést. Zářez typu „W“ je podobný tvaru „U“, nacházíme u něj ale dva vrcholy (5, 21, 20).
Úhel tibiálního plató (TPA) je definován jako úhel mezi tibiálním plató a přímkou, která je kolmo vedená k ose tibie. TPA má průměrný sklon mezi 13°–34° a liší se také dle plemene. Studie provedená dr. T. Ichinohe v roce 2015 prokázala, že sklon tibiálního plató může přispívat k ruptuře LCC. Tato studie byla prováděna u bíglů, kteří měli TPA větší než 40° (12, 22, 5, 58).
Obrázek 5: Měření sklonu TPA pomocí modelu dr. Slocuma a dr. Devine, MTA – osa tibie (5)
1.7.2. Luxace pately
Mediální luxace čéšky (MPL) je další velmi běžnou příčinou způsobující kulhání (34). Luxace pately vzniká důsledkem deformace zadních končetin během růstu nebo následkem traumatu. Nejčastěji se patela vykloubí mediálně, laterální luxace je poměrně vzácná (9). Toto onemocnění se vyskytuje převážně u malých plemen psů (33).
Obrázek 6: Zdravý kolenní kloub a kloub postižený MPL (6)
MPL se může objevovat současně s rupturou LCC (34). Důsledkem zvýšené instability v kolenním kloubu se následně zvyšuje tlak na přední zkřížené vazy predisponující k degeneraci (33).
Léčba závisí na preferencích veterináře. Je popsáno několik chirurgických možností léčby MPL zároveň s rupturou LCC. Tyto možnosti se zaměřují na změnu mechanismu kvadricepsu při stabilizaci kloubu (5).
1.8. Diagnostika
Řadu diagnostických informací můžeme zjistit už jen při příchodu psa do ordinace a dále diagnostikujeme na základě ortopedického vyšetření a předběžnou diagnózu vždy můžeme potvrdit rentgenologicky a případně artroskopicky (12, 15).
Řídíme se vždy diagnostikou založenou na:
- Anamnéze,
- klinickém vyšetření,
- ortopedickém vyšetření,
- neurologickém vyšetření,
- zobrazovacích metodách.
1.8.1. Anamnéza
Na anamnézu se ptáme již od narození zvířete, jestli se vyskytly nějaké obtíže a případně jaké. Další důležité informace jsou, jestli kulhání vzniklo náhle nebo postupně, jestli kulhá stále nebo jen intermitně nebo jen v nějaké denní době, zda kulhá jen na jednu končetinu nebo střídavě (17).
Ptáme se také na prostředí, ve kterém žije, na jeho pohybový režim, zda je v domácnosti více zvířat a také na složení jeho krmné dávky. Důležité je také zjistit, jestli pacient má nebo prodělal určitá onemocnění a jaká byla nebo je jejich léčba. Bereme na vědomí plemenné a věkové predispozice (17).
1.8.2. Celkové klinické vyšetření
Celkové klinické vyšetření se provádí směrem od hlavy k ocasu a obsahuje zvážení zvířete, změření triasu, zkontrolování očí, sliznic a uší, dále se pokračuje s vyšetřením dutiny břišní a končetin. Provádí se i odběr krve za účelem zjištění případného orgánového selhání. Celkové klinické vyšetření může odhalit mnoho stavů, které by mohly vést ke změně anestetické nebo chirurgické techniky, nebo k případnému zařazení pacienta do rizikové skupiny a nasazení medikace (51).
1.8.3. Ortopedické vyšetření
Ortopedické vyšetření provádíme nejdříve pomocí adspekce v klidu a v pohybu mimo ordinaci. V pohybu sledujeme psa v kroku, klusu i běhu. Při vyšetření můžeme použít i schody a všímat si jeho ochoty či neochoty schody vyjít, popřípadě z nich seskočit. Důležité je pozorovat psa zepředu, zezadu a z boku. Pro diagnostiku kulhání nám velmi napomáhá, když pes svým během kopíruje tvar čísla osm, kdy musí střídat zátěž na všech končetinách. Pokud pes sklání při pohybu hlavu a přenáší váhu na přední končetiny, diagnostikujeme u něho právě kulhání na pánevní končetinu. U adspekce v klidu zkoumáme muskulaturu vždy na obou stranách, úhlení a zatěžování končetin (17).
Následně v ordinaci provádíme palpaci povrchovou a hlubokou. Začínáme vždy palpovat nejdříve zdravou končetinu od prstů a postupujeme proximálně. To umožnuje psovi si na náš postup zvyknout a lékař se seznámí s normálními vlastnostmi končetiny (17, 9).
Obrázek 7: Povrchová palpace kolenního kloubu (4)
Při povrchové palpaci u ruptury LCC bývá patrný otok kolena a při dlouhodobějším průběhu onemocnění je typické tvrdé zduření způsobené fibrotizací měkkých tkání na mediální straně kolenního kloubu (11).
Diagnostiku ruptury LCC můžeme určit pomocí několika postupů a zakládáme ji na prokázání instability kolenního kloubu. Tu prokážeme zásuvkovým testem nebo kompresí tibie. U postižených jedinců shledáváme typický abnormální sed, kdy pes vytáčí koleno do strany, aby se vyhnul úplné flexi. Tento test popsal dr. Slocum v roce 1976 a nazval ho „sit test“ neboli „sedací test“ (2, 9, 11, 19).
Zásuvkový pohyb provádíme tak, že prst pravé ruky položíme na patelu a palec pravé ruky na fabellu. Poté ukazováček levé ruky na tuberosity tibie a palec na fibullu. Test by měl být nejprve prováděn v extenzi. Tibii se snažíme posunout kraniálně a detekovat instabilitu a náznaky bolesti. Pokud je tento test pozitivní, pravděpodobně to svědčí o ruptuře totální, kdy je potrháno více než 75 % vazu. Pokud ne, provedeme test ve flexi a jestli je pozitivní, můžeme uvažovat o ruptuře parciální a o potrhání 50–70 % vazu. U velkých plemen může nastat komplikace, kdy tento pohyb nebudeme moct provést důsledkem zatnutí svalů psa (9, 19).
Obrázek 8: Zásuvkový test (7)
Tibiální kompresní test je jeden z dalších testů, který dokazuje rupturu LCC. Tento test můžeme provést, když pacient leží i stojí. Koleno je v mírné flexi a při vyšetření levé končetiny pokládáme levou dlaň přes patelu a ukazováčkem nahmatáme tuberositu tibie, aby bylo možné detekovat abnormální pohyb tibie. Druhou ruku použijeme k provedení flexe v hlezenním kloubu. U zdravého kolenního kloubu není zřejmý žádný pohyb, zatímco u pacientů s rupturou LCC se tuberosita tibie posune kraniálně, to pozorujeme pomocí posunutí našeho ukazováčku směrem dopředu (11, 12).
Obrázek 9: Tibiální kompresní test (7)
1.8.4. Neurologické vyšetření
Po provedení ortopedického vyšetření by mělo vždy přijít vyšetření neurologické (9). U pacientů s bilaterální rupturou LCC může být tento ortopedický problém zaměňován s onemocněním neurologickým. Může se stát, že jedinec se nebude moct postavit a bude mít závažné potíže s chůzí (12).
Neurologické vyšetření provádíme pomoci několika testů, jako jsou například proprioceptivní polohování, chůze na ipsilaterálních končetinách. Testujeme také reflexy patelární, panikulární, reflexy tibie, flexoru, extenzoru a následně i reflex perineální (9).
1.8.5. Zobrazovací techniky
Přestože jsme s největší pravděpodobností diagnózu určili již v ordinaci, vždy bychom měli své tvrzení potvrdit jednou ze zobrazovacích metod. Mezi nejčastější metodu se řadí rentgenologické vyšetření (RTG), jež nám dodává informace o kloubním podkladu a o měkkých tkáních (28). Na některých klinikách se využívá i vyšetření ultrasonografické (USG), vyšetření pomocí magnetické rezonance (MRI), počítačové tomografie (CT) a artroskopie (11, 28).
Při rentgenologickém vyšetření zhotovujeme dvě projekce – předozadní a boční. Na snímku bychom měli zachytit distální polovinu femuru a proximální polovinu tibie. Pro zjištění sklonu TPA budeme potřebovat snímek, na němž bude současně i tarzus (11).

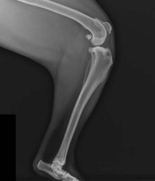
Obrázek 10: Kolenní kloub postižený rupturou LCC, obrázek vlastní
Začínáme s posouzením měkkých tkáních, kde se v případě ruptury vazu objevují i sekundární příznaky, jako například kloubní efúze nebo tvorba osteofytů (11). Tyto příznaky také představují výskyt osteoartritidy. Specifickými známkami chronické ruptury LCC je zbytnění měkkých tkání. V některých případech můžeme pozorovat kalcifikaci zbytků LCC (28).
Snímek posuzujeme i z důvodu, abychom případně odlišili i jiné příčiny kulhání (13). Rentgenologickým vyšetřením můžeme přijít také na patologické procesy, jimiž může být kostní tumor (11).
Ultrasonografické vyšetření volíme v případě, kdybychom chtěli vyšetřit perikloubní a nitrokloubní měkké tkáně a kloubní efúzi (28). Vaz nejlépe zobrazíme z kraniálního povrchu kůže v sagitální rovině a koleno udržujeme v úplné flexi. U malých plemen psů není LCC zobrazitelný z důvodu příliš úzkého interkondylárního prostoru, který brání viditelnosti (5). Vyšetření provádíme nejlépe pomocí lineární sondy s vysokým rozlišením 10 až 18 MHz (5, 28).
U chronických případů ruptury LCC, pokud nejsou poškozené menisky, shledáváme synoviální hypertrofii, minimální výpotek a důsledkem tvorby osteofytů nepravidelný kostní povrch. Vaz může být nepravidelný a ztluštělý. Při kompletní ruptuře vazu je velká pravděpodobnost natržení mediálního menisku, který se může jevit jako hypoechogenní nebo skvrnitý (5).
Ačkoli jsme diagnostikovali rupturu LCC, v jedné pětině případů není pomocí USG identifikovatelná (28).
CT má oproti RTG tu výhodu, že umožnuje zobrazit příčné řezy, a proto se při zobrazení nepřekrývají tělní struktury (5). Vyšetření je prováděno v celkové anestezii ve sternální nebo hřbetní poloze. Oba kolenní klouby jsou v extenzi (28). Při poranění měkkých tkáních využíváme jodového kontrastního média, které zvyšuje kontrast a poskytuje větší množství informací o patologii (5). Pomocí CT můžeme detekovat mineralizované tkáně a také časné osteoartritické změny (28).
Obrázek 11: Kolenní kloub v 90° flexi zobrazen pomocí CT, oba kolenní klouby postiženy rupturou LCC, A) přidružen poškozený meniskus v místě, kde se normálně nachází LCC, B) přidružen poškozený meniskus ohraničený kontrastní látkou (2)
Magnetická rezonance se stále častěji využívá pro vyhodnocení pohybového aparátu psa (29). V dnešní době se uplatňuje především MRI s nízkou a střední indukcí magnetického pole (0,2–0,4 T) (28). MRI je založeno na změnách morfologických a změnách intenzity signálů, pomocí nichž snáze rozpoznáme kloubní léze. Vyšetření se provádí v dorzální a sagitální rovině. Pro lepší zobrazení LCC se kolenní kloub umístí do 90° flexe.
Obrázek 12: Zdravý kolenní kloub zobrazen pomocí MRI (2)
Artroskopické vyšetření je chirurgický zákrok, který umožňuje široké pozorování kolenního kloubu a používá se jako diagnostický test k posouzení stavu pacienta (52, 53). Tato minimálně invazivní chirurgická technika dokáže přímo vizualizovat LCC a díky ní můžeme i přesně diagnostikovat parciální rupturu LCC (16). Při artroskopii psa trpícího rupturou LCC někdy pozorujeme osteochondrotické léze laterálního nebo mediálního kondylu (52). Dále dokážeme také zobrazit a vyšetřit další intraartikulární struktury jako menisky, chrupavky a CaCl (54).
Obrázek 13: A) artroskopické zobrazení LCC bez zjevného potrhání vazu, B) paciální ruptura LCC
1.9. Vývoj jednotlivých chirurgických technik
První poznatky o ruptuře LCC se objevují v roce 1908, kde je popsal Share-Jones u koní jako „gonitida“. V té době byl kolenní kloub u psa považován za velmi slabý a náchylný. Řešení tohoto problému bylo pouze třítýdenním klidovým režimem bez skákání a jako rehabilitace bylo doporučeno plavání (19, 23).
V roce 1952 dr. Paatsama vydal studii o typech ruptury LCC a popsal rupturu samotnou jako akutní a chronickou. Průlom v řešení ruptury LCC nastal pomocí chirurgie, kdy se Paatsama pokusil o nahrazení vazu po vzoru dr. Hey-Grovesema, který se tímto problémem zabýval v lidské medicíně. Paatsama nahradil vaz pomocí štěpu fascie lata z laterální strany stehna a pomocí tunelů vyvrtaných v kosti štěp umístil za odebraný vaz. Tato technika se stala základním řešením po mnoho
let (2, 19, 23).
V té době se již začalo také využívat syntetických materiálů. Mezi nejčastější se zařadil nylon, teflon, supramid, terylenová a teflonová síťovina. Podle dr. Paatsama se však jako nejúčinnější osvědčily kožní štěpy (23).
Paatsamovu chirurgickou techniku doktoři začali brzo kritizovat a byly zavedeny nové typy operací. Dr. Pearson provedl operaci pojmenovanou jako modifikovaná technika retinakulární imbrikace (MRIT), kdy se monofilní nylon umístil kolem kolenního kloubu k zajištění stability (23).
Pro náhradu LCC u psa následně popsal Arnoczky a kol. postup, který nazvali „Over The Top“. Vaz měl nahradit štěp tvořený z čéšky, čéškové šlachy, vazu a fascie lata. Tento štěp byl veden po dráze původního vazu. Tato technika oproti ostatním intraartikulárním technikám měla výhodu v tom, že se vyhýbala vrtání tunelů do kosti a věřilo se, že polohu vazu napodobuje lépe než operace dr. Paatsamy (23, 44).
Začalo se uvažovat o stabilizaci kolenního kloubu pomocí osteotomie, která by vyrovnávala úhel TPA, tím by došlo k neutralizaci kraniálně směřujících střižných sil. V roce 1984 představili dr. Barclay Slocum a dr. Theresa Devine operaci nazvanou „Cranial Closing Wedge Osteotomy“ (CCWO) (23). Ta byla založena na principu odstranění klínu s kraniálně umístěnou bází z proximální tibie (24).
Obrázek 14: Ilustrace techniky provedení operace CCWO (8)
O 10 let později byla vytvořena nová chirurgická technika nazvaná „Tibial Plateu Leveling Osteotomy“ (TPLO). Navrhli ji dr. Slocum a dr. Devine po vzoru operace CCWO. Oproti operaci CCWO tato technika nemění pozici pately, využívá půlkruhový řez v hlavici tibie a pootočení tibiálního plató (26). Dnes je TPLO celosvětově nejčastěji používanou technikou měnící geometrii v kolenním kloubu psa (24).
Obrázek 15: Ilustrace techniky provedení operace TPLO (9)
V roce 2002 dr. Tepic a dr. Montavon prezentovali nový chirurgický postup při řešení ruptury LCC, který nazvali „Tibial Tuberosity Advancement“ (TTA). Základem je posunutí zároveň tuberosity tibie a patelárního vazu směrem kraniálně, následné vyrovnání TPA (25).
Obrázek: 16 Ilustrace výsledku operace TTA (10)
Poslední zákrok představený veřejnosti se uskutečnil v roce 2013 dr. Hulsem a kolektivem, pojmenovaný „CORA-Based Leveling Osteotomy“ (CBLO) (27). Je založený na principu Paleyovy CORA metodologie (Center of Rotation and Angulation = CORA). Tato metoda kombinuje jak operaci TPLO, tak i CCWO (24).
1.10. Terapie
V minulosti bylo popsáno mnoho chirurgických postupů, kterými jsou se již popsány výše. Stejně jako v dřívějších dobách, i dnes je léčba ruptury LCC záležitostí chirurgie. Snahou je docílit stability v kolenním kloubu, aby nedocházelo dále k rozvoji osteoartrózy, synovitidě a postupujícím degenerativním změnám v kloubu. Veterinární medicína neustále prochází velkým vývojem jak v postupech chirurgických technik, tak i implantátů.
Volba chirurgického postupu záleží na preferencích chirurga. Jedna z nejpoužívanějších technik dnes je operace TPLO (24). I když se mezi oblíbené řadí i extraartikulární techniky, hrozí u nich velké riziko předčasného selhání implantátu a pooperační nestability (32).
1.10.1. TPLO: Teorie, technika provedení a komplikace
Operace TPLO se řadí mezi osteotomie a jejím cílem je snížit sklon TPA, aby došlo k neutralizaci kraniálně působící síly. Po dokončení TPLO v kolenním kloubu opět vzniká stabilita a kloub nadále již LCC „nepotřebuje“ (28).
Slocum využíval osteotomie, která byla zaměřena na rotaci tibiálního plató a snížení TPA na 5°. K udržení této polohy tibiálního plató využíval specifický implantát. Jeho technika byla úspěšná a nastal přelomový okamžik v chirurgické léčbě ruptury LCC. Následně o technice provedení TPLO začal učit i ostatní chirurgy (35).
V dnešní době je TPLO jedna z nejzkoumanějších chirurgických technik a stále se zvyšuje počet chirurgů, kteří tento postup využívají. Proto se TPLO neustále zdokonaluje a vytváří se nové implantáty (35).

Obrázek 18: Příklady implantátů pro operaci TPLO (12)
Předtím než provedeme operaci, spočítáme velikost TPA a velikost rotace, kterou potřebujeme dosáhnout k snížení TPA na přibližných 5°.

Obrázek: 19 Vyměření sklonu TPA, obrázek vlastní
Jeden z klíčových bodů je výběr správného implantátu. Mediálním přístupem provádíme v proximální části tibie radiální částečnou osteotomii, jejíž centrum by se mělo překrývat s interkondylárními výběžky. Kauterem si vytvoříme značky, které označují míru rotace tibiálního plató. Osteotomii dokončíme a pomocí hřebu zavedeného proximokraniálně rotujeme tibiálním plató, dokud vyznačené značky neleží naproti sobě. Přiložíme ploténku a dočasně fixujeme pomocí drátu Kirschner. Připevníme implantát pomocí šroubů. První dva šrouby zavedeme na opačných stranách ploténky a poté zbývající počet šroubů (28).

Obrázek 20: Zaznamenávání značek pomocí kauteru, obrázek vlastní
Za dobu, po kterou se tato technika osteotomie provádí, byly publikovány studie, které narážely na komplikace s touto operací spojené. Komplikace byly hlášeny od 9,7 % do 39 % případů. Komplikace mohou nastat v intraoperativní i postoperativní fázi (19).

Obrázek 21: RTG snímek: Výsledek operace TPLO, obrázek vlastní
Celkově bývají komplikace během zákroku nejčastěji způsobeny chirurgem a předpokládá se, že zkušenosti chirurga, pečlivé předoperativní plánování a opatrnost během operace by měly vést ke snížení těchto problémů (19).
Za největší komplikaci se považuje přetnutí popliteální tepny, která v nejhorším případě končí smrtí pacienta. Proto se jako prevence využívá izolace proximální tibie vložením gáz mezi tibii a popliteální sval (37).
Základem je dále správné umístění implantátu a šroubů, které je nutné po operaci zkontrolovat RTG snímkem a v případě zjištění, že šrouby zasahují do osteotomie nebo do kloubu, ránu znovu otevřít a zrevidovat (19, 37).
Po operaci se můžeme setkat s frakturami kostí, infekcí, selháním implantátu, patelární tendinitidou, otokem tkání. Některé z těchto komplikací jsou snadno vyřešitelné, jiné se řadí mezi závažnější a v nejhorším případě by mohli vést k celoživotním problémům pacienta. Některé studie uvádí významný vliv tělesné hmotnosti pacienta na celkový počet komplikací (38).
Výskyt infekcí u tohoto typu operace je obecně vyšší než u jiných. Příčina je pravděpodobně multifaktoriální (37). Infekce chirurgické rány může vyvolat infekci kosti a osteomyelitidu. Projevuje se zčervenáním, zvýšenou teplotou a otokem postiženého místa. Vede k opožděnému hojení nebo dokonce k nespojení kostních fragmentů (28). Pro snížení míry infekce se doporučuje řídit aseptickými operačními technikami a podání širokospektrálních antibiotik. V některých případech je po propuknutí infekce nutné implantát odstranit (37).
Mezi časté a závažné fraktury se řadí fraktura tibiálního hřebene. Obvykle vzniká důsledkem špatně umístěné osteotomie, nepřesnou redukcí TPA s tvorbou mezery nebo použití příliš velké pily vzhledem k rozměrům tibie (39).
Patelární tendinitida je velmi často vyskytující se jev, který může způsobit bolest a kulhání. Toto zbytnění patelárního vazu se považuje za benigní změnu a může být důsledkem nedodržení klidu pacienta po operaci nebo zvýšeného tlaku na patelární vaz během operace (37).
Několik týdnů po operaci TPLO se u některých psů můžeme setkat s fenoménem nazývaným „Rock-back“. Tento jev vzniká při navrácení TPA nad 15° (56). Brzkým rozeznáním tohoto fenoménu můžeme předejít selhání implantátu a ztráty instability v kolenním kloubu. Projevuje se akutním kulháním v pooperačním období, proto by se každé akutně zhoršující se kulhání mělo brát na vědomí (19).
„TPLO je v současnosti nejčastěji doporučovaným postupem veterinárními chirurgy pro léčbu ruptury LCC.“, uvádí dr. Andy Nanda a dr. Eric C. Hans (2019), „Dostupné důkazy podporují TPLO jako operaci, která s největší pravděpodobností vrátí psům normální funkci končetin.“ Za poslední desetiletí se provedení TPLO výrazně zlepšilo a počítačový software je dnes samozřejmostí k provedení této operace, kdy je možné plánovat osteotomii díky digitální šabloně (35).
1.10.2. TTA Rapid: Teorie, technika provedení a komplikace
Operace TTA byla publikována v roce 2002 a klasický postup této operace zahrnuje více implantátů a je technicky náročnější, proto se začaly využívat modifikované techniky, které by tento zákrok mohly zjednodušit. Jedna z těchto modifikací se nazývá TTA Rapid (40). „Metoda TTA neutralizuje kraniálně směřované střižné síly působící na kolenní kloub pomocí kranializace úponu dlouhého kolenního vazu tak, aby byl úhel mezi osou dlouhého kolenního vazu a tibiálním plató v extenzi 90°.“, uvádí český chirurg Jan Hnízdo (2017).

Obrázek 22: Výsledek operace TTA-Rapid (13)
Oproti původní technice TTA Rapid využívá pouze jeden implantát místo dvou. I k operaci TTA Rapid musíme nejdříve pořídit RTG snímek a operaci předem naplánovat pomocí šablony (28). Osteotomii provádíme pomocí oscilační pily mediálním přístupem v proximální tibii. Kraniální segment tuberosity tibie přesuneme a osteotomii fixujeme titanovou klecí („Cage“), kterou do kosti připevníme pomocí šroubů. Tato klec umožňuje vrůstání kosti (41).

Obrázek 23:Příklad titanové klece, obrázek vlastní
Tento zákrok doprovází také možné komplikací. Nejčastěji se během operace můžeme setkat s frakturou tibie v distální části osteotomie. Pokud je klec se zavrtanými šrouby stále pevně fixovaná, není nutné zavést specifickou léčbu (19).

Obrázek 24:RTG snímek: výsledek operace TTA-Rapid, obrázek vlastní
Komplikace zde rozdělujeme na hlavní a vedlejší. Vedlejší komplikace jsou definovány jako komplikace, které nepotřebují chirurgický zákrok a zahojí se bez medikace. Dle studií se vyskytují do 18,4 % případů. Řadí se mezi ně právě i fraktura tibie (19).
Hlavní komplikace jsou definovány jako komplikace, které se je nutné vyřešit chirurgickým zásahem nebo pomocí medikace. Četnost hlavních komplikací se pohybuje do 15,1 % případů (19). I u této techniky, stejně jako u TPLO, se jako jedna z největších komplikací po operaci považuje infekce (19). Pokud se infekce znovu objeví i po ukončené antibiotické léčbě, je na zvážení chirurga, zda implantát neodstranit.
Výběr chirurgické metody je především na preferencích chirurga. Operace TTA Rapid má u určitých plemen a jedinců dobré výsledky a některé studie naznačují, že pomocí této techniky dojde k dřívějšímu zotavení a návratu mobility než pomocí operace TPLO (40).
1.10.3. Konzervativní léčba
Konzervativní léčba se volí u pacientů, kteří jsou již příliš staří, aby absolvovali narkózu, pro pacienty, kteří se řadí do rizikové skupiny, či pro pacienty, kde nelze zajistit pooperační péče nebo z finančních důvodů majitelů. Skládá se z úpravy pohybového režimu, fyzioterapie, redukce hmotnosti, nesteroidních antiflogistik, CBD, Librely (14).
Některé studie dokládají, že medikamentózní léčba je úspěšná při řešení klinických příznaků u 80 % psů s váhou pod 15 kg. Na RTG snímcích můžeme však stále pozorovat známky degenerativního onemocnění kloubu, které i přes klinické zlepšení progreduje (42).
1.11. Pooperační péče a rehabilitace
Pro úplné zhojení kostí a tkání po operaci je důležité, aby pacient dodržel stanovenou pooperační péči. Je potřeba tuto péči dodržet do doby, než ošetřující veterinář pořídí RTG snímky, podle kterých rozhodne, že léčba je ukončená a osteotomie zcela srostlá. Pes má po několik týdnů nastavený klidový režim, nesmí běhat ani skákat a procházky by se měly omezit pouze na vodítku (28).
Rehabilitace se doporučuje jak pacientům, kteří absolvovali léčbu pomocí některé chirurgické techniky, tak i pro pacienty, kteří podstupují léčbu konzervativní. Cílem rehabilitace je navrátit jedinci co nejlepší funkci končetiny, pro zlepšení jejich kvality života (19). Mezi další cíle se řadí poskytnout jedinci úlevu od bolesti, zotavení ze ztráty svalové hmoty a změnu držení těla (5). Několik rehabilitačních technik se prokázalo, že jsou přínosné. Řadí se mezi ně studené komprese, elektrické stimulace a terapie fokusovanou rázovou vlnou (19).
Někteří jedinci na operovanou nohu nechtějí stoupnout. U velkých plemen psů se dá použít zvedací postroj na pánevní končetiny, který podpoří neuromuskulární funkci. Pro podporu chůze na všechny končetiny můžeme psa vzít do vysoké trávy, do čerstvého sněhu, chodit s ním do kopce nebo na nerovném terénu (55).
1.12. Sekundární změny
LCC brání vnitřní rotaci tibie a pokud tato opora kolenního kloubu selže, vzniká v kloubu instabilita a abnormální rotace. Kvůli dysfunkci LCC vznikají v kloubu sekundární změny, mezi které řadíme hlavně osteoartrózu a poškození menisků. Tyto změny ovlivňují kvalitu života jedince a je nutné na ně brát ohled při výběru následné terapie (5).
1.12.1. Osteoartróza
Osteoartróza (OA) je degenerativní onemocnění kloubů a má za následek nepohodlí a disfunkci postižené končetiny. OA postihuje kloubní chrupavky, synoviální membránu, vazy a kosti (45). Mezi klinické příznaky řadíme omezený rozsah kloubu, svalovou atrofii, bolestivost a ztuhlou a topornou chůzi s kulháním na postiženou končetinu (11).
Diagnostika OA je založena na ortopedickém vyšetření a RTG snímku. Vyšetření by mělo obsahovat palpaci pro případné zjištění otoku a zvýšené teploty v místě lokalizace a manipulaci s klouby. Zde bychom měli zahrnout flexi, extenzi, abdukci a addukci (11). Cílem lékařské péče je omezení bolestivosti, potlačení zánětu a zpomalení progrese artrózy.

Obrázek 25: Kolenní kloub postižený rupturou LCC a OA, obrázek vlastní
Je popsáno několik základních principů terapie OA a za jeden z nejdůležitějších je považována redukce tělesné váhy. Je známo, že obezita nadměrně působí na celý kloubní aparát, a přestože mezi OA a obezitou není jasná souvislost, tuk je metabolická tkáň, která podporuje zánětlivé procesy (5).
Mezi další principy řadíme omezení pohybu, kontrolovanou zátěž a úpravu prostředí, kterou rozumíme např. pokrytí kluzkých podlah kobercem. Také medikace OA je důležitým bodem z několika důvodů. Léky ovlivňují míru bolesti, zánětu a zlepšují funkci končetin (11).
Adéla Jahodová
Zlín 2023
- ČERNÝ, Hugo. Anatomie synoviálních útvarů končetin koně, psa, skotu a prasete pro studium a praxi. Brno: Noviko, 1999. ISBN 80-902676-1-0.
- VÉREZ-FRAGUELA, José Luis, Roberto KÖSTLIN, Rafael Latorre REVIRIEGO, Salvador Climent PERIS, Francisco Miguel Sánchez MARGALLO a Jesús Usón GARGALLO. Orthopaedic pathologies of the stifle joint
- REECE, William O. Fyziologie a funkční anatomie domácích zvířat. Praha: Grada, 2011. ISBN 978-80-247-3282-4.
- BAIRD, Arabella Elizabeth Gardiner. Investigating the Genetic Basis of Cranial Cruciate Ligament Rupture in the Newfoundland Dog [online]. 2013 [cit. 2023-02-23]. Dostupné z: https://livrepository.liverpool.ac.uk/14335/1/BairdAra_Sep2013_14335.pdf. Profesní doktorát. University of Liverpool.
- MUIR, Peter. Advances in the Canine Cranial Cruciate Ligament [online]. Wiley, 2017 [cit. 2023-02-23]. ISBN 9781119261711. Dostupné z: doi:10.1002/9781119261728
- DE ROOSTER, Hilde. CRANIAL CRUCIATE LIGAMENT DISEASE IN THE DOG: CONTRIBUTIONS TO ETIOLOGY, DIAGNOSIS AND TREATMENT [online]. 2001 [cit. 2023-02-23]. Dostupné z: https://core.ac.uk/download/pdf/55680621.pdf. Universiteit Gent.
- Morphologic and functional features of the canine cruciate ligaments. PubMed [online]. [cit. 2023-02-23]. Dostupné z: https://pubmed.ncbi.nlm.nih.gov/17187639/
- DE ROOSTER, HILDE, TANYA DE BRUIN a HENRI VAN BREE. Morphologic and Functional Features of the Canine Cruciate Ligaments [online]. [cit. 2023-02-23]. Dostupné z: doi:10.1111/j.1532-950X.2006.00221.x.
- KOCH, Daniel a Martin S. FISCHER, ed. Diagnosing Canine Lameness [online]. Stuttgart: Georg Thieme Verlag, 2020 [cit. 2023-02-21]. ISBN 9783132432833. Dostupné z: doi:10.1055/b-007-170978
- COMERFORD, Eithne J., John F. TARLTON, John F. INNES, Kenneth A. JOHNSON, Andrew A. AMIS a Allen J. BAILEY. Metabolism and composition of the canine anterior cruciate ligament relate to differences in knee joint mechanics and predisposition to ligament rupture. Journal of Orthopaedic Research[online]. 2005, 23(1), 61-66 [cit. 2023-02-21]. ISSN 0736-0266. Dostupné z: doi:10.1016/j.orthres.2004.05.016
- NEČAS, Alois, Brian S. BEALE a Karl H. KRAUS. Ruptura kraniálního zkříženého vazu u psů. Brno: VFU Brno, 2004. ISBN 80-7305-490-6.
- DUERR, Felix Michael, ed. Canine Lameness [online]. Wiley, 2020 [cit. 2023-02-23]. ISBN 9781119474029. Dostupné z: doi:10.1002/9781119473992
- ČESKÁ ASOCIACE VETERINÁRNÍCH LÉKAŘŮ MALÝCH ZVÍŘAT. SBORNÍK IX. výroční konference ČAVLMZ: Nemoci kloubů. Hradec Králové: NUKLEUS HK, 2001. ISBN 80-86225-18-6.
- SVOBODA, Miroslav. Nemoci psa a kočky. Brno: Noviko, 2001. ISBN 80-902595-3-7.
- WALTON, Ben. Clinical Impact of obesity on osteoarthritis in canines. Vet Times [online]. 2016 [cit. 2023-02-23]. Dostupné z: https://www.google.com/url?sa=t&rct=j&q=&esrc=s&source=web&cd=&cad=rja&uact=8&ved=2ahUKEwjDsu-4939av9AhX4gP0HHTj4DlsQFnoECAsQAQ&url=https%3A%2F%2Fwww.vettimes.co.uk%2Fapp%2Fuploads%2Fwp-post-to-pdf-enhanced-cache%2F1%2Fclinical-impact-of-obesity- on-osteoarthritis-in-canines.pdf&usg=AOvVaw1-EtEHncyQxdNwdc5SgUfl
- POZZI, Antonio. EARLY PARTIAL CCLR: HOW TO DIAGNOSE THEM. 21st ESVOT Congress [online]. 2022, 290 - 291 [cit. 2023-02-23].
- JAHODA, Jiří. Přednáška ortopedické vyšetření psa: Večerní škola Medipet. Zlín, 20. 10. 2022 [cit. 2023-02-26].
- WINKELS, Philipp. WEIGHT LOSS PROGRAMS: WHY ARE WE NOT INTERESTED? WHY THEY DO NOT WORK?. 21st ESVOT Congress [online]. 2022, 416 - 417 [cit. 2023-02-23].
- BEN-AMOTZ, Ron a David L. DYCUS. Complications in Canine Cranial Cruciate Ligament Surgery. Wiley-Blackwell, 2022. ISBN 9781119654377.
- COMERFORD, E.J., J.F. TARLTON, N.C. AVERY, A.J. BAILEY a J.F. INNES. Distal femoral intercondylar notch dimensions and their relationship to composition and metabolism of the canine anterior cruciate ligament. Osteoarthritis and Cartilage [online]. 2006, 14(3), 273-278 [cit. 2023-02-21]. ISSN 10634584. Dostupné z: doi:10.1016/j.joca.2005.09.001
- 21AL-SAEED, Osama, Mary BROWN, Reji ATHYAL a Mehraj SHEIKH. Association of femoral intercondylar notch morphology, width index and the risk of anterior cruciate ligament injury. Knee Surgery, Sports Traumatology, Arthroscopy [online]. 2013, 21(3), 678-682 [cit. 2023-02-21]. ISSN 0942-2056. Dostupné z: doi:10.1007/s00167-012-2038-y 22. DUERR, Felix M., Colleen G. DUNCAN, Roman S. SAVICKY, Richard D. PARK, Erick L. EGGER a Ross H. PALMER. Risk factors for excessive tibial plateau angle in large-breed dogs with cranial cruciate ligament disease. Journal of the American Veterinary Medical Association [online]. 2007, 231(11), 1688-1691 [cit. 2023-02-21]. ISSN 0003-1488. Dostupné z: doi:10.2460/javma.231.11.1688
- VAUGHAN, L. C. The history of canine cruciate ligament surgery from 1952 – 2005. Veterinary and Comparative Orthopaedics and Traumatology [online]. 2017, 23(06), 379-384 [cit. 2023-02-21]. ISSN 0932-0814. Dostupné z: doi:10.1055/s-0037-1617480
- HNÍZDO, Jan. Čtyři techniky alterující geometrii v kolenním kloubu u malých plemen psů (<10 kg). Veterinářství [online]. 2017 [cit. 2023-02-23]. Dostupné z: https://www.animalclinic.cz/wp-content/uploads/2019/02/7.pdf
- HOFFMANN, D. E., J. M. MILLER, C. P. OBER, O. I. LANZ, R. A. MARTIN a P. K. SHIRES. Tibial tuberosity advancement in 65 canine stifles. Veterinary and Comparative Orthopaedics and Traumatology[online]. 2018, 19(04), 219-227 [cit. 2023-02-21]. ISSN 0932- 0814. Dostupné z: doi:10.1055/s-0038-1633004
- HNÍZDO, J. a O. POMAHAČ. Použití metody Tibial Plateu Leveling Osteotomy jako řešení nestabilních kolenních kloubů po stabilizaci technikou Tibial Tuberosity Advancement. Veterinářství [online]. 2020, 637-646 [cit. 2023-02-26]. Dostupné z: https://www.animalclinic.cz/wp-content/uploads/2020/11/vet_11_20_TPLO_po-kor.pdf 27. RASKE, Matthew, Don HULSE, Brian BEALE, W. Brian SAUNDERS, Erin KISHI a Christopher KUNZE. Stabilization of the CORA Based Leveling Osteotomy for Treatment of Cranial Cruciate Ligament Injury Using a Bone Plate Augmented With a Headless Compression Screw. Veterinary Surgery [online]. 2013, 42(6), 759-764 [cit. 2023-02-21]. ISSN 01613499. Dostupné z: doi:10.1111/j.1532-950X.2013.12035.x 5028. NEČAS, Alois, Brian S. BEALE, Alessandro PIRAS a Pavel PROKS. Novinky v léčbě ruptury předního zkříženého vazu a poranění menisků. Brno: Nena VET, 2011. ISBN 978-80-904866-0-7.
- ARMBRUST, LAURA J., MACKENZIE OSTMEYER a ROSE MCMURPHY. MAGNETIC RESONANCE IMAGING OF BONE MARROW IN THE PELVIS AND FEMUR OF YOUNG DOGS. Veterinary Radiology & Ultrasound[online]. 2008, 49(5), 432-437 [cit. 2023-02-21]. ISSN 10588183. Dostupné z: doi:10.1111/j.1740-8261.2008.00402.x
- WILKE, Vicki L., Shu ZHANG, Richard B. EVANS, Michael G. CONZEMIUS a Max F. ROTHSCHILD. Identification of chromosomal regions associated with cranial cruciate ligament rupture in a population of Newfoundlands. American Journal of Veterinary Research [online]. 2009, 70(8), 1013-1017 [cit. 2023-02-21]. ISSN 0002-9645. Dostupné z: doi:10.2460/ajvr.70.8.1013
- BUDSBERG, Steven. NEW STRATEGIES IN CRUCIATE REPAIR. 21st ESVOT Congress [online]. 2022, 78 - 79 [cit. 2023-02-23].
- POZZI, Antonio. ROTATIONAL STIFLE INSTABILITY IN PEOPLE AND DOGS: SIMILARITIES AND DIFFERENCES. 21st ESVOT Congress [online]. 2022, 287 - 289 [cit. 2023-02-23].
- GIBBONS, S. E., C. MACIAS, M. A. TONZING, G. L. PINCHBECK a W. M. MCKEE. Patellar luxation in 70 large breed dogs. Journal of Small Animal Practice [online]. 2006, 47(1), 3-9 [cit. 2023-02-21]. ISSN 00224510. Dostupné z: doi:10.1111/j.1748- 5827.2006.00004.x
- LANGENBACH, Anke a Denis J. MARCELLIN-LITTLE. Management of concurrent patellar luxation and cranial cruciate ligament rupture using modified tibial plateau levelling. Journal of Small Animal Practice [online]. 2010, 51(2), 97-103 [cit. 2023-02-21]. ISSN 00224510. Dostupné z: doi:10.1111/j.1748-5827.2009.00854.x
- NANDA, Andy a Eric C HANS. Tibial Plateau Leveling Osteotomy for Cranial Cruciate Ligament Rupture in Canines: Patient Selection and Reported Outcomes. Veterinary Medicine: Research and Reports [online]. 2020, 249-255 [cit. 2023-02-23]. Dostupné z: https://www.tandfonline.com/doi/full/10.2147/VMRR.S204321
- PUETZER, Jennifer L., Tianchi MA, Ignacio SALLENT, Amy GELMI a Molly M. STEVENS. Driving Hierarchical Collagen Fiber Formation for Functional Tendon, Ligament, and Meniscus Replacement. Biomaterials [online]. 2021, 269 [cit. 2023-02-21]. ISSN 01429612. Dostupné z: doi:10.1016/j.biomaterials.2020.120527
- BERGH, M. S. a B. PEIRONE. Complications of tibial plateau levelling osteotomy in dogs. Veterinary and Comparative Orthopaedics and Traumatology [online]. 2017, 25(05), 349-358 [cit. 2023-02-21]. ISSN 0932-0814. Dostupné z: doi:10.3415/VCOT-11-09-0122
- SOLANO, Miguel A., Alan DANIELSKI, Karla KOVACH, Noel FITZPATRICK a Michael FARRELL. Locking Plate and Screw Fixation After Tibial Plateau Leveling Osteotomy Reduces Postoperative Infection Rate in Dogs Over 50 kg. Veterinary Surgery [online]. 2014, n/a-n/a [cit. 2023-02-21]. ISSN 01613499. Dostupné z: doi:10.1111/j.1532- 950X.2014.12212.x
- BERGH, MARY SARAH, PÄIVI RAJALA-SCHULTZ a KENNETH A. JOHNSON. Risk Factors for Tibial Tuberosity Fracture After Tibial Plateau Leveling Osteotomy in 51Dogs. Veterinary Surgery [online]. 2008, 37(4), 374-382 [cit. 2023-02-21]. ISSN 01613499. Dostupné z: doi:10.1111/j.1532-950X.2008.00391.x
- SAMOY, Yves, Geert VERHOEVEN, Tim BOSMANS, Elke VAN DER VEKENS, Evelien DE BAKKER, Piet VERLEYEN a Bernadette VAN RYSSEN. TTA Rapid: Description of the Technique and Short Term Clinical Trial Results of the First 50 Cases. Veterinary Surgery [online]. 2015, 44(4), 474-484 [cit. 2023-02-21]. ISSN 01613499. Dostupné z: doi:10.1111/j.1532-950X.2014.12298.x
- DYALL, B. a H. SCHMÖKEL. Tibial tuberosity advancement in small-breed dogs using TTA Rapid implants: complications and outcome. Journal of Small Animal Practice [online]. 2017, 58(6), 314-322 [cit. 2023-02-21]. ISSN 00224510. Dostupné z: doi:10.1111/jsap.12654
- JERRAM, RM a AM WALKER. Cranial cruciate ligament injury in the dog: pathophysiology, diagnosis and treatment. New Zealand Veterinary Journal [online]. 2003, 51(4), 149-158 [cit. 2023-02-21]. ISSN 0048-0169. Dostupné z: doi:10.1080/00480169.2003.36357
- JOHNSON, Janna M. a Ann L. JOHNSON. Cranial Cruciate Ligament Rupture. Veterinary Clinics of North America: Small Animal Practice [online]. 1993, 23(4), 717-733 [cit. 2023-02- 21]. ISSN 01955616. Dostupné z: doi:10.1016/S0195-5616(93)50078-5
- DENNY, H. R. a A. R. S. BARR. An evaluation of two ‘Over the Top’ techniques for anterior cruciate ligament replacement in the dog. Journal of Small Animal Practice [online]. 1984, 25(12), 759-769 [cit. 2023-02-21]. ISSN 0022-4510. Dostupné z: doi:10.1111/j.1748- 5827.1984.tb00446.x
- MACCOUX, Lindsey J., Fiona SALWAY, Philip J.R. DAY a Dylan N. CLEMENTS. Expression profiling of select cytokines in canine osteoarthritis tissues. Veterinary Immunology and Immunopathology[online]. 2007, 118(1-2), 59-67 [cit. 2023-02-21]. ISSN 01652427. Dostupné z: doi:10.1016/j.vetimm.2007.04.006
- RALPHS, S. Christopher a Wayne O. WHITNEY. Arthroscopic evaluation of menisci in dogs with cranial cruciate ligament injuries: 100 cases (1999–2000). Journal of the American Veterinary Medical Association [online]. 2002, 221(11), 1601-1604 [cit. 2023-02-21]. ISSN 0003-1488. Dostupné z: doi:10.2460/javma.2002.221.1601
- DE BRUIN, Tanya, Hilde DE ROOSTER, Henri VAN BREE a Eric COX. Evaluation of anticollagen type I antibody titers in synovial fluid of both stifle joints and the left shoulder joint of dogs with unilateral cranial cruciate disease. American Journal of Veterinary Research [online]. 2007, 68(3), 283-289 [cit. 2023-02-21]. ISSN 0002-9645. Dostupné z: doi:10.2460/ajvr.68.3.283
- BUOTE, NICOLE, JASON FUSCO a ROBERT RADASCH. Age, Tibial Plateau Angle, Sex, and Weight as Risk Factors for Contralateral Rupture of the Cranial Cruciate Ligament in Labradors. Veterinary Surgery[online]. 2009, 38(4), 481-489 [cit. 2023-02-21]. ISSN 01613499. Dostupné z: doi:10.1111/j.1532-950X.2009.00532.x
- GRIERSON, J., L. ASHER a K. GRAINGER. An investigation into risk factors for bilateral canine cruciate ligament rupture. Veterinary and Comparative Orthopaedics and Traumatology [online]. 2017, 24(03), 192-196 [cit. 2023-02-21]. ISSN 0932-0814. Dostupné z: doi:10.3415/VCOT-10-03-0030
- WITSBERGER, Tige H., J. Armando VILLAMIL, Loren G. SCHULTZ, Allen W. HAHN a James L. COOK. Prevalence of and risk factors for hip dysplasia and cranial cruciate ligament deficiency in dogs. Journal of the American Veterinary Medical Association [online]. 2008, 232(12), 1818-1824 [cit. 2023-02-21]. ISSN 0003-1488. Dostupné z: doi:10.2460/javma.232.12.1818
- MANDESE, W. W., F. C. GRIFFIN, P. S. REYNOLDS, A. C. BLEW, A. S. DERIBERPREY a A. H. ESTRADA. Stress in client‐owned dogs related to clinical exam location: a randomised crossover trial. Journal of Small Animal Practice [online]. 2021, 62(2), 82-88 [cit. 2023-02- 21]. ISSN 0022-4510. Dostupné z: doi:10.1111/jsap.13248
- SALMELIN, B. R. MEASUREMENT OF INTRA-ARTICULAR PRESSURES DURING STIFLE ARTHROSCOPY USING A CADAVER MODEL. 21st ESVOT Congress [online]. 2022, 491 - 492 [cit. 2023-02-23].
- CARON, Alexandre. STIFLE JOINT ARTHROSCOPY: HOW DID I BECOME SURGICALLY EFFICIENT? (TIPS AND TRICKS). 21st ESVOT Congress [online]. 2022, 102 - 103 [cit. 2023-02-23].
- WINKELS, Philipp. POSITIONING IS CRUCIAL IN STIFLE ARTHROSCOPY: MODIFICATION OF A STIFLE POSITIONING DEVICE. 21st ESVOT Congress [online]. 2022, 414 - 415 [cit. 2023-02-23].
- MILLIS, Darryl L., David LEVINE a Robert A. TAYLOR. Canine Rehabilitation Physical Therapy. Saunders, 2004. ISBN 0-7216-9555-8.
- HNÍZDO, J. a O. POMAHAČ. TPLO u psů s hmotností nad 50 kg – aplikace nového implantátu u prvních 50 pacientů. Veterinární klinika [online]. 2021, 214-224 [cit. 2023-02- 23]. Dostupné z: https://www.animalclinic.cz/wp-content/uploads/2021/09/klinika5- 2021cl1.pdf
- PEGRAM, C., D.C. BRODBELT, K. DIAZ-ORDAZ, Y. CHANG, A. Frykfors VON HEKKEL, D.B. CHURCH a D.G. O’NEILL. Risk factors for unilateral cranial cruciate ligament rupture diagnosis and for clinical management in dogs under primary veterinary care in the UK. The Veterinary Journal [online]. 2023, 292 [cit. 2023-02-21]. ISSN 10900233. Dostupné z: doi:10.1016/j.tvjl.2023.105952
- TODOROVIĆ, Anastasija Z., Mirjana V. Lazarević MACANOVIĆ, Marko B. MITROVIĆ, Nikola E. KRSTIĆ, Henri J. J. van BREE a Ingrid M. L. V. GIELEN. The Role of Tibial Plateau Angle in Canine Cruciate Ligament Rupture—A Review of the Literature. Veterinary and Comparative Orthopaedics and Traumatology [online]. 2022, 35(06), 351-361 [cit. 2023- 02-21]. ISSN 0932-0814. Dostupné z: doi:10.1055/s-0042-1750316
- CHUANG, Connie, Megan A. RAMAKER, Sirjaut KAUR, et al. Radiographic Risk Factors for Contralateral Rupture in Dogs with Unilateral Cranial Cruciate Ligament Rupture. PLoS ONE [online]. 2014, 9(9) [cit. 2023-02-21]. ISSN 1932-6203. Dostupné z: doi:10.1371/journal.pone.0106389