Při výběru vhodné metody záleží na tom, co chceme vidět a jaké informace potřebujeme. Každá metoda má jiné přednosti – některé lépe ukazují měkké tkáně (svaly, mozek), jiné kosti. U vyšetření hlavy se také zohledňuje dostupnost metody a náklady na její provedení.

Rentgen (RTG)
Rentgen se používá hlavně k zobrazení kostí a jejich poškození, například při podezření na zlomeninu, vykloubení nebo jiné úrazy hlavy. Výhodou je, že je dostupný téměř na každé veterinární klinice, je levný a rychlý. Nevýhodou je, že špatně zobrazuje měkké tkáně a někdy je nutné zvíře složitě polohovat, což může ovlivnit kvalitu snímků.
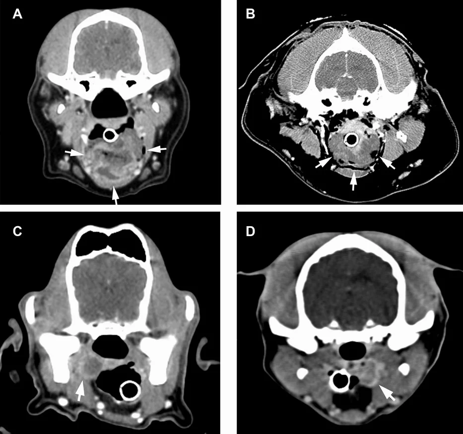
CT (počítačová tomografie)
CT vytváří detailní „řezové“ snímky hlavy a dokáže rozlišit kosti, měkké tkáně i dutiny. Hodí se pro širokou škálu vyšetření, například:
- úrazy lebky, zlomeniny a deformace kostí,
- nádory a útvary v oblasti hlavy,
- onemocnění dutiny nosní a vedlejších nosních dutin (záněty, polypy, nádory),
- onemocnění středního a vnitřního ucha,
- změny na zubech a čelisti (zubní abscesy, záněty, cysty),
- krvácení nebo jiné poruchy v mozku,
- vrozené vady lebky a mozkových struktur.
CT je rychlé a přesné, ale vyžaduje anestezii či sedaci, aby se zvíře nehýbalo.
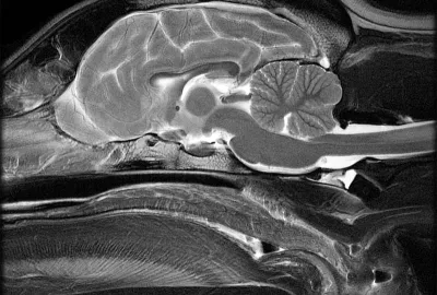
MRI (magnetická rezonance)
MRI je nejlepší pro zobrazení mozku a nervového systému – ukáže například nádory, záněty mozku a mozkových obalů, krvácení, cévní příhody nebo problémy s míchou v oblasti krční páteře. Poskytuje nejdetailnější obraz měkkých tkání, ale vyšetření trvá déle a je dražší než CT.
Ultrazvuk (USG)
Ultrazvuk se používá hlavně na povrchově uložené oblasti, kde není kost – například spodní část krku, některé měkké útvary na hlavě nebo oko. Umí odhalit záněty, nádory nebo cizí tělesa v dostupných oblastech. Nejčastěji se využívá pro vyšetření oka, včetně hledání útvarů za okem. Je neinvazivní, bezbolestný a většinou nevyžaduje sedaci.