Dlouhodobá péče o psy a kočky s chronickým onemocněním srdce. Praktické tipy pro majitele. | Veterinární klinika Medipet Zlín

Jedním z nejčastějších problémů, které v klinické praxi řešíme u psích a kočičích seniorů, je srdeční onemocnění. Péče o ně je často komplikovaná, protože starší pacienti mohou trpět i jiným souběžným onemocněním a je nutné jim podávat celou řadu léků. Je proto nezbytná úzká spolupráce mezi majitelem a veterinárním lékařem. Tento článek se zaměřuje na nejdůležitější body v dlouhodobé péči, které pomáhají zlepšit kvalitu života pacientů i jejich rodin.

Diagnóza a plán léčby

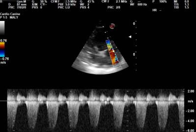
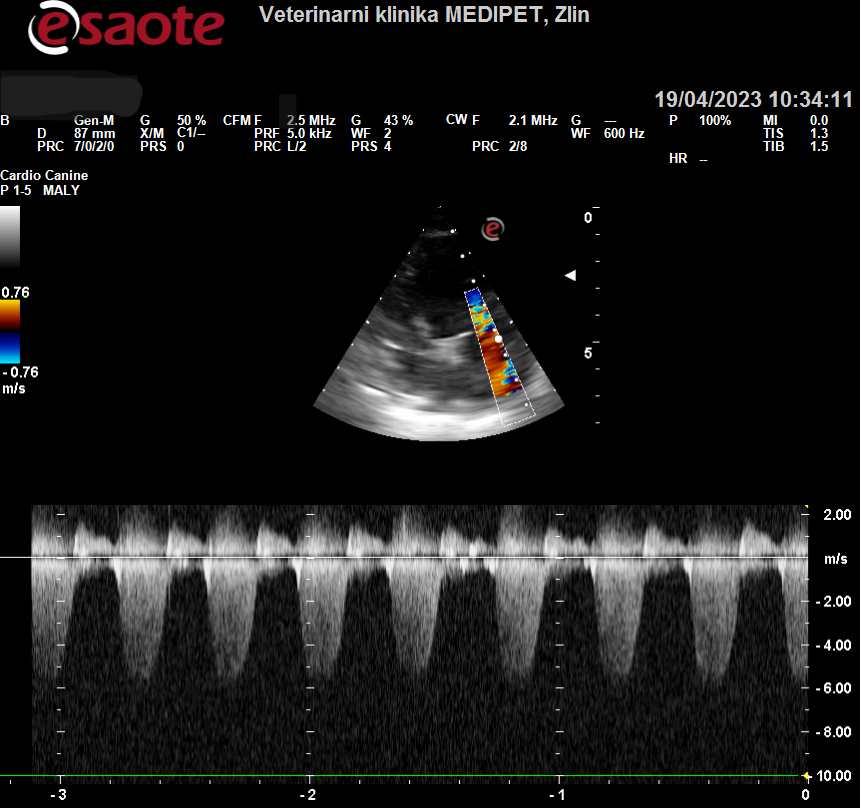
Prvním krokem je vždy přesná diagnóza.  Mezi nejčastější onemocnění, se kterým se u zvířecích pacientů setkáváme patří myxomatózní degenerace mitrální chlopně u menších psů, dilatační kardiomyopatie u větších plemen a hypertrofická kardiomyopatie u koček. Na základě klinického vyšetření a kardiologického vyšetření zjistíme v jaké   fázi se onemocnění nachází a podle toho sestavíme individuální plán léčby, který zahrnuje pravidelné podávání léků a pravidelný monitoring.

Podávání léků

Chronické srdeční onemocnění často vyžaduje celoživotní podávání léků. Jaké léky zvolit, určí veterinární lékař na základě vyšetření srdce a vyšetření krve. Majitelé by měli být důslední v podávání léků a sledovat, zda zvíře přijímá léky pravidelně.

Výživa a životní styl

Strava a kontrola váhy hraje klíčovou roli v péči o srdeční pacienty. Nadváha zvyšuje nároky na srdce a může zhoršit příznaky onemocnění. Zvířata s pokročilým onemocněním srdce mohou trpět nechutenstvím a rychlé, progresivní hubnutí je také nežádoucí. Krmivo by mělo být dobře stravitelné a mělo by zajistit dostatečný přísun energie a obsahovat dostatek kvalitních bílkovin. 

Doporučuje se stravu obohatit o omega-3-mastné kyseliny (doporučená denní dávka je 65 mg/ kg s vhodnou distribucí-40 mg/kg kys. eikosapentanová a 25mg/kg kys. dokosahexanová) V některých případech je nutná dieta s nízkým obsahem sodíku.

Zároveň je třeba přizpůsobit fyzickou aktivitu. Lehký pohyb a pravidelné procházky, které nevedou k zadýchávání, jsou velmi prospěšné. Intenzivní aktivity jako např. aport je potřeba omezit.

Pravidelné kontroly a monitoring

Pravidelné kontroly u lékaře jsou klíčové pro úpravu léčby podle aktuálního stavu zvířete.  Kontroly by měli probíhat každých 3-6 měsíců v závislosti na závažnosti onemocnění. Pokud Vaše zvíře užívá léky na odvodnění, je důležité naučit se doma monitorovat dechovou frekvenci. Zvýšené zadýchávaní nebo dokonce kašel mohou signalizovat zhoršení stavu.

Domácí monitoring dechové frekvence:

  • Důležitý parametr pro sledování vývoje srdečního onemocnění v domácí péči.
  • Zvýšení dechové frekvence je necitlivějším indikátorem vzniku plicního edému a k jejímu zvyšování dochází dříve než ke vzniku kašle.
  • Klidová dechová frekvence by neměla být vyšší než 35 d/min.
  • Počítat po dobu 1 min, při pokojové teplotě, v době odpočinku.
  • 1 respirační cyklus-zvednutí a poklesnutí hrudníku.
  • Existují také mobilní aplikace, určené k počítaní dechové frekvence u psů.

Závěrem lze říci, že tu nejzásadnější roli v dlouhodobé péči o zvířecího kardiaka hrají majitelé. Kromě pravidelného podávání léků a dodržování doporučení by měli sledovat jakékoliv změny ve zdravotním stavu. I když chronické srdeční selhání nelze definitivně vyléčit, moderní léky a správná péče dokáží významně prodloužit a zkvalitnit život pacienta.

Mytomatózní degenerace mitrální chlopně-spektrální doppler.
Plícní edém. RTG vyšetření.