Bolest zad u psů | Veterinární klinika Medipet Zlín

Z celkového spektra bolestivých stavů, kterými naše doma chovaná zvířata trpí, je bolest v oblasti zad po potížích s klouby druhou nejčastější variantou.

Co rozumíme pod pojmem „bolest zad“?

Jedná se o nepříjemný senzorický pocit různé intenzity v oblasti hrudní, bederní a bedro-křížové části páteře. Může mít různou intenzitu, od mírné až po nesnesitelnou bolest, která zvíře doslova paralyzuje, s častou vokalizací. Podle zdroje bolesti můžeme rozlišovat určité typy bolestivosti: senzorickou, neuropatickou či myofasciální, která vychází ze svalových partií kolem vlastní páteře. Tzv. neuropatická složka značí většinou přímé poškození nervové tkáně, resp. nervového kořene. Pro zvíře je těžko snesitelná.

Příčin akutní, resp. chronické bolestivosti zad je poměrně hodně. Bolest zad je tak nespecifickým příznakem. Struktury, které mohou bolest způsobovat jsou obratle, míšní obaly, míšní kořeny, meziobratlové disky či svalové partie v okolí.
Mezi onemocnění, která zvíře výrazně zatěžují bolestí řadíme výhřez meziobratlové ploténky, zlomeniny či nádory obratlů, infekce meziobratlové ploténky či některá imunitně podmínění onemocnění míšních plen.

Jaké jsou konkrétní projevy této bolestivosti?

Obecně je vnímání bolesti velmi individuální, s tím souvisí také i její projevy. U akutního stavu většinou dochází k prudké změně chování zvířete. Zvíře stojí nahrbené, chodí jen velmi opatrně – jakoby na jehlách. Často si odmítá lehnout. Pokud již ulehne těžko si hledá vhodnou pozici. Obtížně vstává, velmi často s mručením. Neotřese se spontánně po celé délce těla. Může kulhat na některou z končetin. Zatíná břicho. Můžeme slyšet i výrazné hlasové projevy bolestivosti – naříkání.

U chronického průběhu do popředí více vystupují změny celkového chování zvířete. Zvíře je smutné, odmítá se venčit, resp. pohybovat. Zalézá. Hůře žere, může paradoxně více pít. Má poruchy spánkového rytmu – hůře spí a často se budí a převrací. Negativně reaguje na snahu pohladit či česat určité partie těla. Může být pozorována i nárazovitá agresivita zvířete. U některých typů bolestivosti si zvíře postiženou partii těla i často olizuje či se může začít sebepoškozovat – projevy tzv. parestezie.

Jaké máme diagnostické možnosti?

Základem jsou vždy získané anamnestické údaje od majitele/chovatele. Ideální je použít již předem připravený dotazník s cílenými otázkami ohledně bolestivého stavu.
Velmi vhodné jsou také video záznam, pořízené majitelem zvířete v domácím prostředí. 

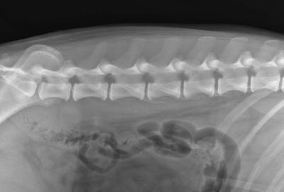
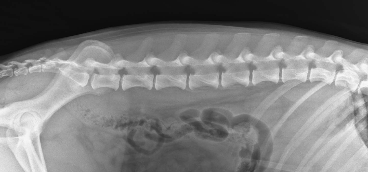
Klinicky pak posuzujeme držení těla, chůzi a celkové chování pacienta. Důraz klademe na citlivé prohmatání postižených oblastí se snahou určit místo bolestivosti a možnou strukturu těla, ze které vychází. Velmi vhodné je provést vyšetření krve, vč. zánětlivých markerů. Nezastupitelnou roli má RTG vyšetření. V indikovaných případech pak CT, popř. magnetická rezonance.

Jaká je vhodná léčba a prevence?

Léčba se liší v případě akutní a chronické bolesti zad. Po vyšetření zvířete, určení místa bolestivosti, a především konkrétního typu bolesti nasazujeme rychle působící léky na bolest – analgetika. Doporučíme max. klid zvířete a chovatelská opatření – systém krmení, venčení, manipulace s pacientem. Průběžně kontrolujeme stav, pokud se horší nebo se přidávají další příznaky – např. obrna končetin – tak zvážíme další vyšetření a chirurgický přístup.

U chronické bolestivosti je velmi důležité znát již předešlé způsoby léčby, použité léky a reakci na ně. Chronickou bolestivost většinou léčíme více způsoby, používáme léky z různých skupin- kromě klasických protizánětlivých preparátů i léky na modulaci chování, antikonvulziva, antipsychotika atp. Velmi vhodné je zařadit specifické přístupy majitelem, aby zvíře bylo minimálně stresováno. Často se také používají metody fyzikální terapie a akupunktura, která má jedinečný mechanismus účinku a u citlivých jedinců můžeme dosáhnout výborných výsledků.

Podstatou léčby je nastavit dlouhodobý management pacienta s minimálním negativním dopadem a maximálním léčebným profitem.

Z hlediska prevence je důležité již zvážit výběr samotného plemen. Fr. buldoček, jezevčík, jorkšírský teriér či španělé jsou plemena s vysokým rizikem vzniku potíží s meziobratlovou ploténkou. Dále je dobré udržovat svého zvířecího parťáka v dobré kondici a váze. Zvážit kastraci fen, u kterých se nepočítá s chovem. Nepřetěžovat problémové partie zad některými fyzickými aktivitami – např. přetahovanou o kus klacku atp. Pokud už potíže nastanou , tak je včas a adekvátně řešit.

1. Elektroakupunktura.
2. RTG snímek bederní páteře psa.
3. operace páteře psa u výhřezu meziobratlové ploténky.